• Stomatologie Cluj Napoca
  • Cluj Napoca, Str. Câmpului, nr. 33
Home/Servicii/Parodontologie
Cabinet Stomatologic Dentar Cluj Napoca Oral Design Clinic

Respirație urât mirositoare, sângerări gingivale, dinți care se mișcă sau gingii care s-au retras? Sunt doar câteva din semnele unei boli parodontale. E momentul să te programezi la o consultație stomatologică chiar azi, nu lăsa să se ajungă la pierderea dinților.

Boala parodontală, denumită popular și parodontoză, reprezintă o afecțiune inflamatorie de cauză microbiană a structurilor de suport ale dintelui (os, gingie și ligament). Parodontoza este strâns legată de prezența plăcii bacteriene, formată din bacterii care se găsesc în mod natural în cavitatea bucală și din resturi alimentare. Dacă nu este îndepărtată corespunzător, formează un strat care aderă de dinti. În timp, placa bacteriană se transformă în tartru care va afecta dinții, gingiile și osul alveolar.

Ce este gingivita?

Faza incipientă afectează doar gingia dintelui și se numește gingivită. Lăsată netratată, gingia se retrage și permite pătrunderea bacteriilor în zona sistemului parodontal. Odată ce capacitatea de etanseizare a gingiei s-a pierdut, apar și alte semne ale bolii parodontale.

Știai că:

  • 8 din 10 persoane cu vârsta de peste 35 ani prezintă o formă de afecțiune a gingiilor;
  • gingivita ocupă locul 6 printre cele mai răspândite boli;
  • gingivita poate duce la pierderea dinților și afectarea întregului organism;
  • nu determină apariția durerilor sau vreun disconfort intens, iar cel mai întâlnit simptom este sângerarea gingiilor.
Tratare gingivita dentara parodontologie parodontoza Cabinet Stomatologic Dentar Cluj Napoca Oral Design Clinic

De ce apare gingivita?

Gingivita poate să apară la orice persoană care nu respectă regulile de igienă dentară, însă există și alți factori de risc implicați în apariția acestei afecțiuni, precum:

  • Fumatul sau mestecarea tutunului;
  • Vârsta înaintată;
  • Dieta săracă în vitamina C;
  • Sindromul de gură uscată;
  • Intervenții stomatologice care îngreunează curățarea corectă a dinților;
  • Schimbări hormonale, precum cele din perioada sarcinii sau a menstruației;
  • Factori ereditari;
  • Anumite medicamente;
  • Anumite boli care slăbesc sistemul imunitar (HIV, leucemie).

Cum se tratează gingivita?

Gingivita este reversibilă și se tratează minim inviaziv prin:

  • Igienizări profesionale în cabinetul Oral Design Clinic, efectuate regulat de către medicii stomatologi.
  • Restaurarea dentară – prin schimbarea plombelor incorecte, tratarea cariilor sau înlocuirea lucrărilor protetice care îngreunează igienizarea corectă a dinților și care produc iritații gingivale.
  • Instruirea corectă a pacientului în ceea ce privește igienizarea dentară riguroasă acasă: tehnica de periaj corectă, folosirea mijloacelor auxiliare de igienizare dentară, utilizarea apelor de gură și a gelurilor antibacteriene.

Lăsată netratată, gingivita poate evolua spre parodontoză (boala parodontală), care presupune pierderi și remodelări osoase și care reprezintă fenomene ireversibile. Dintele își pierde suportul osos iar gingia se retrage urmând retracția osului.

Care sunt semnele și simptomele gingivitei?

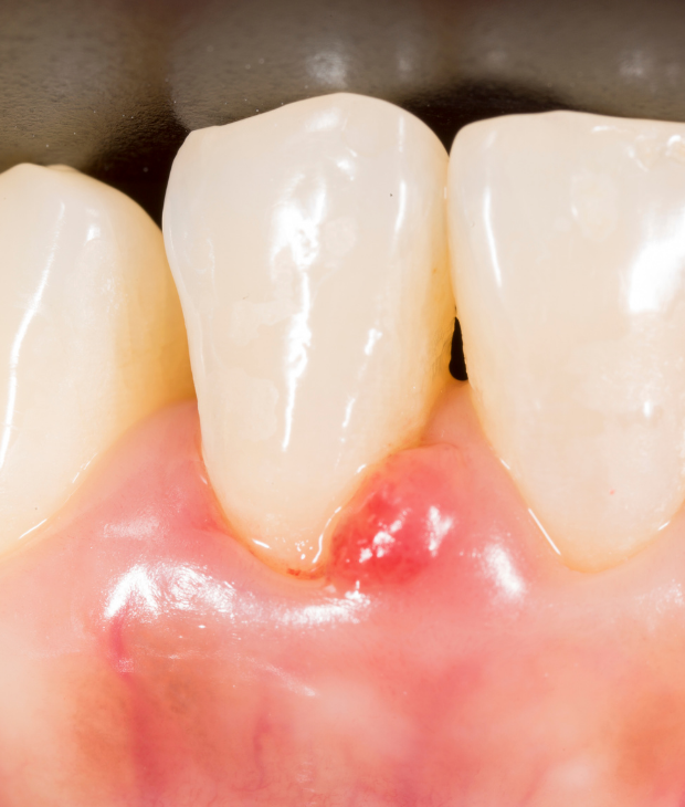
Una dintre cele mai comune cauze care duc la apariția gingivitei este igiena orală precară. Cu cât tartrul rămâne mai mult timp pe suprafața dentară, cu atât va irita mai mult gingiile, care se vor inflama. În timp, gingiile se înroșesc și pot să sângereze. Dacă nu este tratată la timp, gingivita poate duce la apariția cariilor, a bolii parodontale și chiar la pierderea dinților. De aceea, consultul stomatologic periodic este esențial, iar la Oral Design Clinic punem sănătatea dinților tăi pe primul loc.

Alte semne care indică apariție gingivitei sunt următoarele:

  • sângerări ale gingiilor la periaj sau spontan;
  • gingia capătă o nuanță de roșu închis;
  • respirație urât mirositoare;
  • marginea gingiei este umflată, ca un “colac” și prezintă o suprafață lucioasă;
  • uneori pot apărea și retracții ale gingiei consecutive inflamației persistente;

La apariția simptomelor de mai sus este recomandat să mergi la medicul stomatolog. Cu cât tratezi mai repede gingivita, cu atât există mai puține șanse ca aceasta să evolueze și să apară alte complicații. Ce e important de reținut este faptul că gingiile sănătoase sunt ferme, au o nuanță de roz pal și stau fixe pe dinți, iar orice schimbare poate fi semnul apariției unei probleme.

Cum recunoaștem boala parodontală?

Pe lângă semnele care sunt prezente și în gingivită, se adaugă:

  • Mobilitatea dinților;
  • Modificarea poziției dinților;
  • Apar spații între dinți;
  • Gingiile se retrag, făcând dinții să pară mai lungi;
  • Durere la mestecat.

Cum se diagnostichează boala parodontală?

  • Prin examenul clinic în cadrul căruia medicul stomatolog constantă prezența unuia dintre semnele enumerate mai sus.
  • Prin examen radiologic – radiografii 2D sau 3D prin care se evidențiază pierderea de țesut osos.
    Prin măsurarea pungilor parodontale (sondaj parodontal) – realizată cu o sondă parodontală gradată în milimetri.
  • Prin această tehnică se măsoară santul gingival care are adâncimi normale între 0 și 3 mm și care nu trebuie să sângereze în condiții de sănătate gingivală.
Tratare gingivita dentara parodontologie parodontoza Cabinet Stomatologic Dentar Cluj Napoca Oral Design Clinic

Cum se tratează boala parodontală?

Prima etapă de tratament o reprezintă eliminarea inflamației prin detartraj supra și subgingival urmat de surfasajul (netezirea) rădăcinilor pentru a lăsa o suprafață cât mai netedă astfel încât să se prevină aderarea bacteriilor. De multe ori această etapă de tratament este suficientă, urmând să se treacă direct la terapia de menținere.

Terapia chirurgicală – în cazurile de boală parodontală avansată, se poate interveni chirurgical pentru eliminarea pungilor parodontale, cu sau fără adiții de os sau grefe de gingie.

Etapa de menținere și monitorizare – pacientul este chemat regulat la control, la 3 luni în primul an, urmând ca apoi vizitele la parodontolog să se facă din 6 în 6 luni. În această etapă se reevaluează pungile parodontale, iar atunci când este cazul, se fac igienizari profesionale în cabinet pentru a evita recidiva bolii.

Rata de succes în tratarea bolii parodontale

Unele  bolilor parodontale pot fi tratate. Pentru aceasta e nevoie de o colaborare foarte bună între pacient și medicul specialist parodontolog Oral Design Clinic. În cazul în care boala parodontală este instalată va fi nevoie de tratament de lungă durată și presupune ședințe de reevaluare la intervale de timp regulate (2-3 luni). Medicul nostru parodontolog va instrui pacientul cum să își realizeze igiena dentară precum și ce periuțe să folosească astfel încât pacientul să obțină o igienă impecabilă, care va ajuta la menținerea rezultatelor tratamentelor parodontale.

Reușita tratamentului bolii parodontale aduce satisfacție atât pacientului cât și medicului parodontolog. Chiar dacă exista soluții de înlocuire a dinților afectați de boala parodontală cu implanturi dentare, cea mai corectă soluție este aceea de a trata și de a salva dinții, de a reda sănătatea suportului parodontal.

Mituri despre boala parodontală

“Boala parodontală este localizată strict în cavitatea orală.”
Fals! Bacteriile din boala parodontală pot trece în fluxul sangvin, cauzând boli cardio-vasculare, diabet, boli respiratorii sau complicații ale sarcinii pentru gravide.

“Nu mi se mișcă dinții, deci nu am boală parodontală.”
Fals! Boala parodontală incipientă poate să nu ducă la mobilitatea dinților.

“Boala parodontală nu se poate trata, deci nu mai are rost să urmez vreun tratament! Oricum îmi voi pierde dinții.”
Fals! Cu cât se diagnostichează mai precoce, cu atât rezultatele sunt mai bune iar șansa de a pierde dinții este mai mică.

“O igienă dentară bună va trata boala mea parodontală.”
Fals! Deoarece boală parodontală implică bacterii situate subgingival unde pacientul nu are acces cu peria de dinți. Este necesară intervenția medicului parodontolog pentru eliminarea profesională a depozitelor de placă bacteriană și de tartru.

“Sunt prea tânăr ca să am boala parodontală.
Fals! Boala parodontală poate debuta chiar și înaintea vârstei de 20 de ani. Parodontoza este cu atât mai agresivă și mai rapidă în evoluție cu cât pacientul este mai tânăr la debutul bolii.

Sănătatea danturii tale este cea mai importantă. O igienă corectă a dinților și vizitele periodice la stomatolog pot preveni apariția gingivitei și a complicațiilor. Programează-te chiar azi la o consultație la Oral Design Clinic!

Programează-te chiar azi la o consultație!