- Stomatologie Cluj Napoca
- Cluj Napoca, Str. Câmpului, nr. 33

Avansarea tehnologiilor stomatologice și așteptările estetice tot mai mari ale pacienților au condus la creșterea interesului pentru fațetele din porțelan. Un astfel de tratament a fost mult îmbunătățit datorită dezvoltărilor recente ale proprietăților fizice ale ceramicii și ale sistemelor de lipire. În general, fațetele fără pregătire/minim invazive tind să aibă o grosime de 0,1 până la 0,5 mm, în timp ce fațetele convenționale variază de la 0,3 la 1,0 mm.
O tendință recentă în acest domeniu este utilizarea fațetelor ultrasubțiri (Ultra thin veneers), sau a lentilelor de contact, care nu necesită pregătirea invazivă a dinților. În ciuda faptului că sunt subțiri, oferă o bună stabilitate a culorii, au un efect estetic permanent și o rezistență mare. În plus, utilizarea sistemelor moderne de lipire permite o bună aderență la porțelan, ceea ce permite finisarea și conturarea ușoară în regiunea gingivală. În timp ce fațetele fără pregătire/minim invazive sunt biocompatibile cu substraturile dentare și sunt blânde cu parodonțiul, acumulează mai puțină placă bacteriană și promovează o mai bună igienă orală. În plus, în timp ce fațetele convenționale necesită o pregătire agresivă a dinților, aceasta nu este necesară pentru fațetele fără pregătire sau doar o pregătire minoră în smalț pentru fațetele minim invazive.
De mai bine de 20 de ani există proceduri non-invazive care redau zâmbetul fără a fi nevoit să-ți prepari dinții și fără durere. În același timp, conform estimatorului Kaplan-Meier, rata de supraviețuire este de 100% pentru fațetele fără pregătire sau cu pregătire minimă.
Frica de a merge la medicul stomatolog este de domeniul trecutului.
Realizarea fatetelor dentare fără prepararea dinților pentru a închide tremele sau pentru a reface forma dinților este o procedura normală în clinica Oral Design și pe care thd. Cristian Petri o face de peste 15 ani.
Dorința pacientului a fost de a găsi o varianta rapidă, sigură și fără compromisuri care să-i redea zâmbetul și încrederea pacientului.
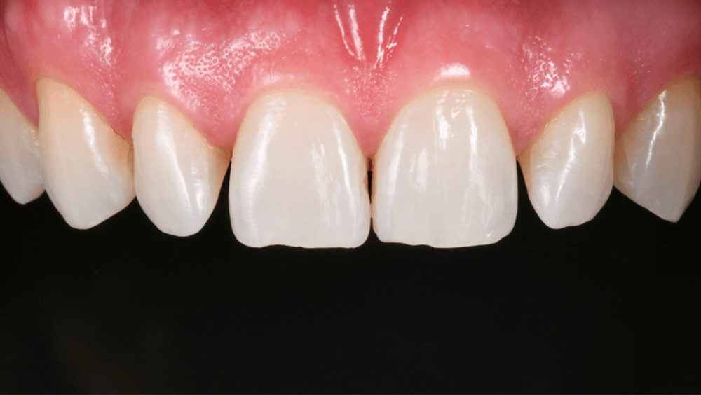
Situația inițială a pacientului cu dinții integri dar cu treme (spații) între incisivii centrali și laterali. În același timp și poziția incisivilor laterali este ușor rotată, conferindu-i un aspect inestetic. Dorința pacientului a fost de a găsi o varianta rapidă, sigură și fără compromisuri care să-i redea zâmbetul și încredere.
Fie că lucrăm digital sau analogic, pentru a realiza fațetele pe masă refractară este nevoie să pregătim un model special. Pe acest model se va stratifica ceramica care mai apoi se va sintetiza în cuptorul de ceramica la 920 de grade, astfel fațetele nu-și vor schimba culoarea în timp indiferent de ce alimente va consuma pacientul.
Datorită faptului că fațetele au o grosime de 0.1 mm, în unele zone sunt transparente însă vor fi mai groase în locurile unde e necesar a se crea o culoare corespunzătoare. Materialul de alegere pentru fațetele fără pregătire/minim invazive este porțelanul feldspatic, care permite fabricarea fațetelor foarte subțiri de la 0,1 la 0,3 mm; în comparație, ceramicele presate mai groase au o grosime de 0,2 până la 0,5 mm și necesită o reducere mai agresivă a structurilor dentare.
Succesul acestor tipuri de restaurari este dat și de respectarea protocolului de lucru corect. Înainte de a începe procedura de cimentare, fațetele se verifică cu material de try-in și se observă integrarea perfectă a acestora. Pentru cimentare este nevoie sa se foloseasca diga pentru o izolare perfecta a campului operator iar dinții vecini se protejează cu benzi de teflon.
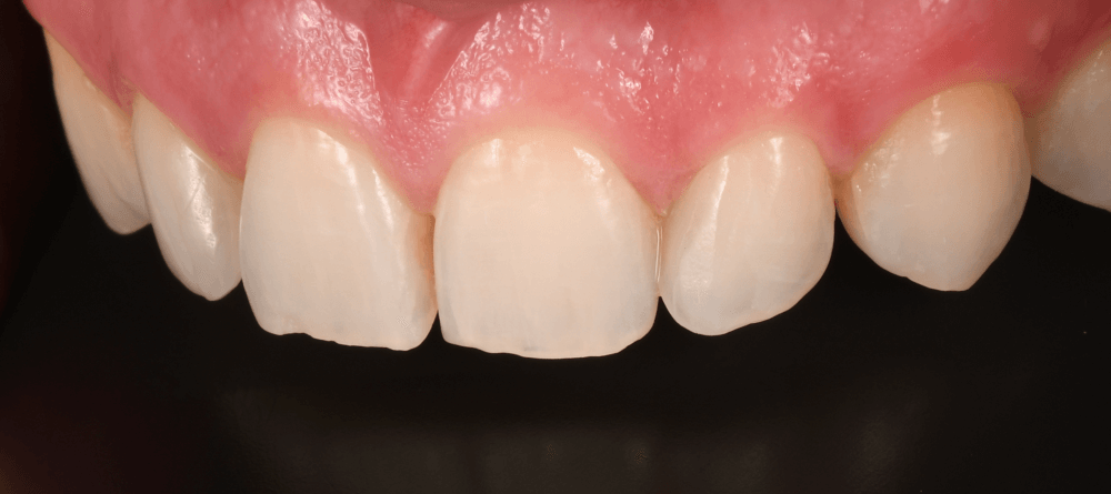
Pacientul are un zâmbet nou fără prepararea dinților, fără durere, fără compromisuri și cu reușită de 100%. Rezultatul este unul imediat după cimentare și se observă integrarea perfectă a fațetelor, închiderea tremelor, schimbarea formei și poziției incisivilor laterali și obținerea corectă a coloristicii finale.
Efectul de cameleon al acestui tip de restaurare este net superior oricărui alt tip de fațetă, din alte materiale. Avantajele fațetelor fără pregătire/minim invazive sunt că sunt complet nedureroase, adesea nu este nevoie de anestezie și amprentele pot fi luate cu ușurință; în plus, nu este nevoie de restaurări provizorii, ceea ce le face ușor acceptate de către pacienții care știu că dinții lor naturali rămân practic intacți.
Thank you for subscribing to the newsletter.
Hopa! Ceva n-a mers bine. Vă rugăm să încercați din nou mai târziu