• Stomatologie Cluj Napoca
  • Cluj Napoca, Str. Câmpului, nr. 33
Home/Cazuri clinice/Fațete de reabilitare totală bimaxilară

Fațete de reabilitare totală bimaxilară

Cabinet Stomatologic Dentar Cluj Napoca Oral Design Clinic

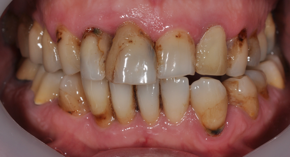
Una din situațiile în care pacientul poate ajunge la realizarea unei restaurări bimaxilare este și cea a pacientului nostru: persoană în jurul vârstei de 50 de ani, care expune numeroase tratamente cu coloratii intense, cu uzură neuniformă a dinților din cele 2 hemiarcade, dreapta și stânga.

Cabinet Stomatologic Dentar Cluj Napoca Oral Design Clinic
Cabinet Stomatologic Dentar Cluj Napoca Oral Design Clinic

1. Starea inițială

Pacientul a primit de-a lungul timpului tratamente stomatologice în diferite zone ale dinților, perpetuindu-se o ocluzie (mușcătura) defectuoasă, cu contacte pe puțini dinți, cu uzuri moderate pe dinții naturali și cu lucrări protetice realizate cu același tip de uzuri. In plus, deschiderea gurii era limitată, cu durere musculară și articulară, cu deviație spre stânga.

Cabinet Stomatologic Dentar Cluj Napoca Oral Design Clinic

2. Plan de tratament

Pentru că pacientul avea diverse tipuri de tratamente stomatologice pe majoritatea dinților, am propus restaurarea ambelor arcade, lucru care ar fi îmbunătățit cromatica. În plus, reabilitarea a avut scopul să îmbunătățească forma dinților, să aducă arcadele dentare în contacte stabile, ușor de găsit și de reprodus, să reducă durerea musculară și articulară. Pentru obținerea acestor deziderate, am etapizat tratamentul.

Cabinet Stomatologic Dentar Cluj Napoca Oral Design Clinic

3. Realizarea mock-up-ului

Am realizat tratamentele cariilor, tratamentul de canal, tratamentele parodontale, extracțiile și inserarea implantelor necesare. Am livrat pacientului un mock-up, realizat realizat în laboratorul Oral Design, cu care a plecat acasă și care ne-a servit pentru testarea noii situații. “Drive-testul” a permis realizarea unor modificări la nivelul mock-up-ului, care au îmbunătățit aspectele de estetică, confort și funcționalitate ale pacientului.

Cabinet Stomatologic Dentar Cluj Napoca Oral Design Clinic

4. Protocoale de laborator

Pacientul a urmărit dacă îi sunt îndeplinite nevoile de estetică, dacă s-a îmbunătățit masticația, dacă nu a fost afectată fonația, dacă s-a obținut “muscatura” stabilă, dacă s-a redus simptomatologia dureroasă la deschiderea gurii. Am agreat împreuna cu pacientul forma finală a dinților provizorii, pe care am transmis-o laboratorului, pentru a transpune informațiile în lucrările definitive.

Cabinet Stomatologic Dentar Cluj Napoca Oral Design Clinic

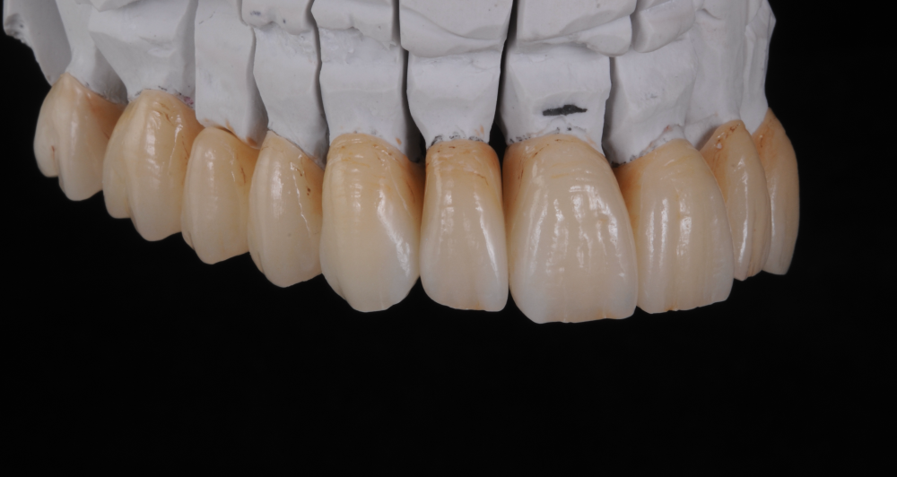
5. Stomatologie minim invazivă

Pacientul a primit lucrări din litiu disilicat, fațete și coroane pe suport dentar și pe implante. Am convenit împreuna cu pacientul culoarea dorită și am individualizat cromatic coroanele și fațetele pentru un aspect cât mai natural. Prepararea dinților s-a făcut respectând principiul minim invazivității, păstrând cât mai mult smalț și structuri dentare posibil.

Cabinet Stomatologic Dentar Cluj Napoca Oral Design Clinic

6. Zâmbet sănătos și armonios

Am obținut un zâmbet armonios, contacte bilaterale simetrice ca intensitate, ușor reproductibile și confortabile, stabilitate parodontală, absența durerilor musculare și articulare la deschiderea gurii, lipsa oboselii musculare. Prognosticul pentru lucrări și dinții restanți este unul favorabil, îmbunătățirea esteticii motivând pacientul să îmbunătățească obiceiurile de igienă și revenirea la controale periodice.

Cabinet Stomatologic Dentar Cluj Napoca Oral Design Clinic

Programează-te chiar azi la o consultație!